A kutyák gerincét érintő, neurológiai tüneteket okozó betegség.
Egy kis anatómia
A betegség megértéséhez fontos egy kis anatómiai áttekintés. A kutyák gerincoszlopát 7 db nyaki, 13 db háti, 7 db ágyéki csigolya és a keresztcsont alkotja. A csigolyák egy vázat adnak, melyhez kapcsolódnak a bordák is. A csigolyák egymással ízesülnek, kapcsolódnak, a nyúlványaikat rövid és hosszú szalagok kötik össze. A csigolyatesten belül található a gerinccsatorna, melyben a gerincvelő fut, a kilépő idegeknek pedig
a csigolyák ívei között biztosítanak helyet. A csigolyák teste között helyezkedik el a porckorong (discus intervertebralis), mely külső része rostos porc (anulus fibrosus), a belső része pedig egy kocsonyás anyag (nucleus pulposus). A porckorong anyag rugalmasságot ad, a gerincre ható erőket csökkenti.
Mi is ez a betegség?
A csigolyatestet és a porckorongot érintő gyulladás, melyet a véráramba kerülő kórokozók (baktérium vagy gomba) idéznek elő, a kapillárisokon keresztül. A discospondylitis tehát egy neurológiai tüneteket okozó fertőző eredetű betegség. A vér közvetítésével bárhol a szervezetből elindulhat a folyamat, de a leggyakoribb a kiválasztószervrendszer, szájüreg és a bőr. Ez azt jelenti, hogy akár egy húgyúti fertőzés, szívbillentyű felrakódás, fogprobléma, tályog, toklász, prosztatagyulladás, bőrseb is lehet kiváltó ok. Főleg a nyaki vagy az ágyéki- keresztcsonti gerinc szakasz területén alakul ki. Bakteriális fertőzést okoz: pl. Staphylococcus intermedius, Streptococcus spp, Brucella canis Escherichia coli, míg a gombás fertőzést leggyakrabban a Aspergellius, Paecilomyces és a Coccidioides immitis.
Kiket érint?
Macskák esetében nagyon ritka, de harapás okozta fertőzés esetén előfordulhat.
Kutyák esetében bármely korosztály érintett lehet, az esetek nagy számában a nagytestű felnőtt, idős korosztályúak érintettek.
Milyen tünetei vannak?
A tünetek számos formában megjelenhetnek, akár hetek alatt, de pár napon belül is jelentkezhetnek a panaszok. A betegség lezajlása nagyon fájdalmas, a gyulladást helyi duzzanat követi, mely feszülést, nyomást gyakorol a csigolyákra, gerincvelőre is. A gerincvelő érintettség és az ideggyöki nyomás miatt nagymértékű hátfájdalom, mozgáselváltozás is tapasztalható, púposítás, bizonytalan mozgás, részleges vagy teljes bénulás is jellemző. Nagyon hasonló lehet a porckorongsérv tüneteihez, azonban a discospondylitis esetén az általános rossz közérzet, láz, levertség, étvágytalanság, fogyás, bágyadtság gyakori tünet.
Diagnosztika
A gerincoszlopról készült röntgenfelvétel már kiindulási pont lehet, azonban korai szakaszban lehet negatív röntgenlelet. A betegség előrehaladtával a csigolyatest szerkezete elkezd felbomlani mely röntgenfelvételen is látványos lehet. A teljes gerinc (csigolyák, a porckorong és a gerincvelő) pontosabb leképzéséhez és az elváltozás pontos helyének meghatározásához CT vagy MRI vizsgálat szükséges. További kiegészítő laborokra is szükség van: vérkép, biokémiai vérvizsgálat, vizeletvizsgálat, esetleg szerológiai vizsgálat a kórokozók pontos meghatározására.
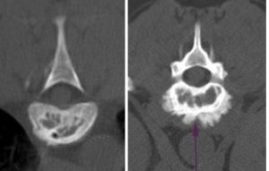
Az alábbi CT felvételen deformált, szerkezetében bomlott csigolyatest jól látható.

Kezelése
Nem szteroid gyulladáscsökkentő, fájdalomcsillapító készítmény szükséges, mely pár napon belül enyhíti a heves tüneteket. A célzott antibiotikum kúra hosszú hetekig szükséges, mellé probiotikum és immunerősítők szükségesek. Nagy mértékű gerincvelő nyomás esetén műtét is megfontolandó.
Fizioterápia
A rehabilitáció részeként a gyógyszeres terápia kiegészítésére a fizioterápia kiemelten fontos.
Az adott kutyus állapotától függően állítunk fel kezelési tervet. A fizioterápiás kezelések célja, hogy a fiziológiás járást ismét elsajátítsa a kutyus, fájdalmát csökkentsük, az izomsorvadást mérsékeljük, az ízületek mozgástartományát szinten tartsuk, az idegpályákat stimuláljuk. A mozgás- és koordináció fejlesztés, izomerősítés, mozgás minőségének támogatása mind a rehabilitáció része.
Forrás:
Handbook of Veterinary Neurology- Michael D. Lorenz, Joan R. Coates, Marc Kent; Ötödik kiadás
Canine Rehabilitation and Physical Therapy- Darryl L Millis, David Levine; Második kiadás